01
Diagnóstico completo y planificación periodontal
Comenzamos con una historia clínica detallada y un examen completo para evaluar el estado de las encías, hueso y las necesidades funcionales y estéticas de Margarita. Con estos datos, planificamos una secuencia de tratamiento personalizada para garantizar una rehabilitación exitosa.
02
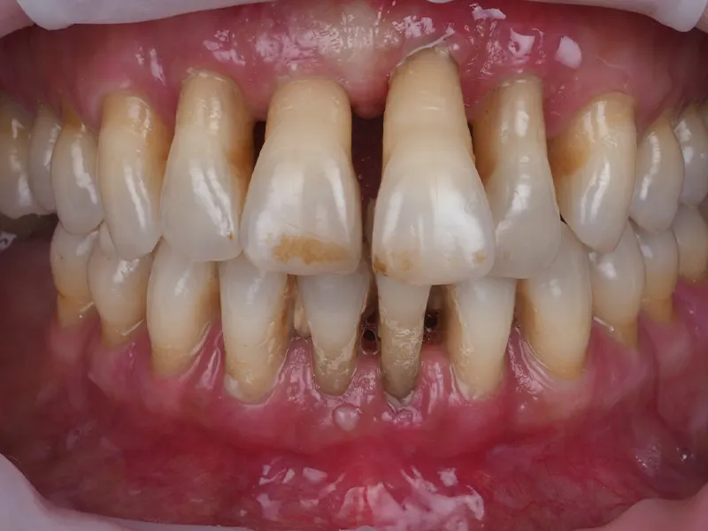
Estabilización periodontal y tratamiento de encías
Realizamos un tratamiento periodontal intensivo para estabilizar las encías y mejorar el soporte óseo. Esto incluyó limpieza profunda, alisado radicular y control de la inflamación, para asegurar que las bases estuvieran preparadas para los implantes.
03
Colocación de implantes dentales en zonas anterosuperiores y posteriores
Una vez estabilizadas las encías y el hueso, se realizó la colocación de implantes dentales en las zonas anterosuperiores y posteriores de la boca, donde ya existían ausencias. Utilizamos una planificación digital avanzada para guiar la colocación y asegurar estabilidad y funcionalidad a largo plazo.

