01
Diagnóstico digital y planificación multidisciplinar
02
Planificación implantológica en arcada superior
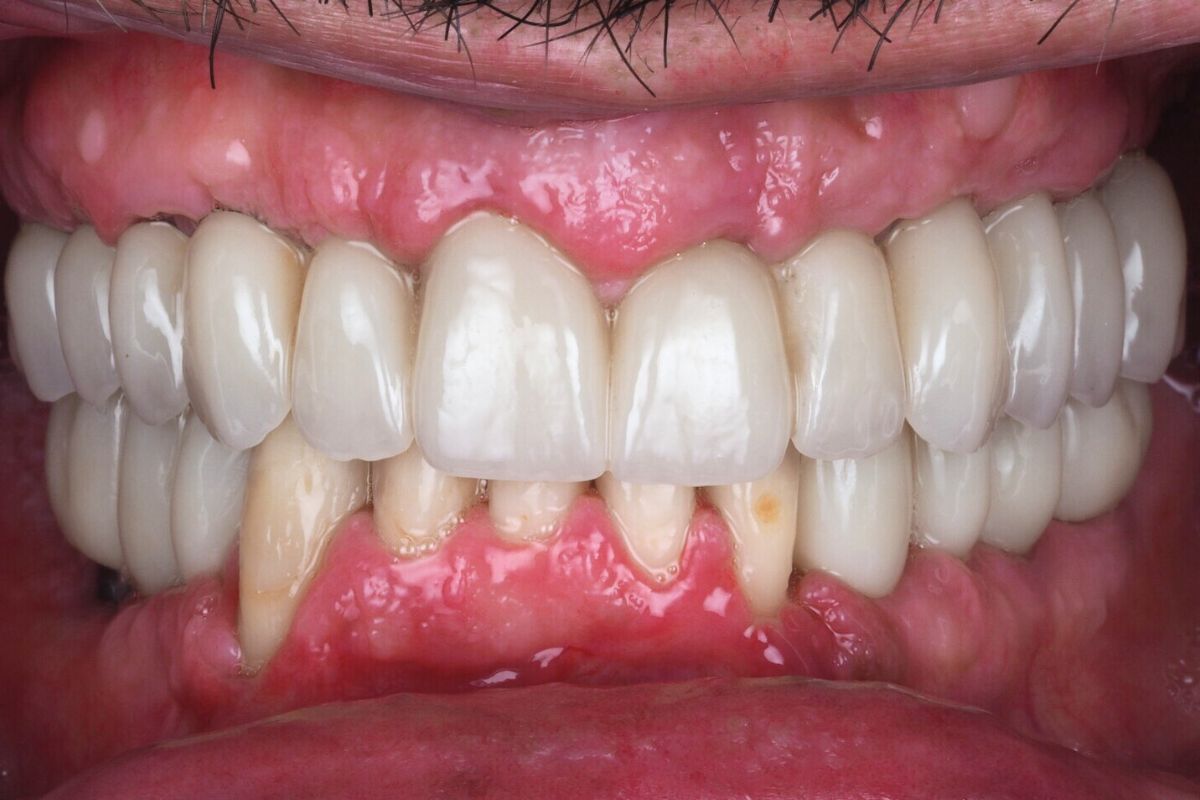
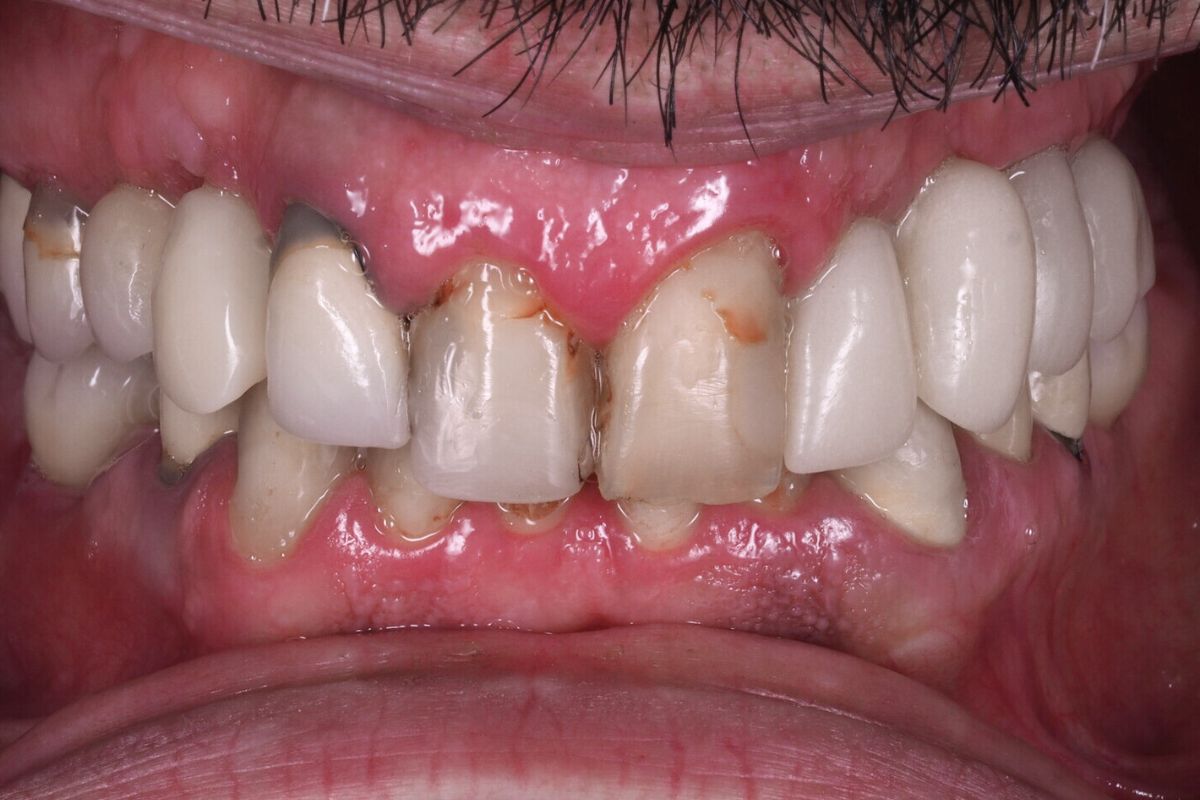
“Paciente que acude a la clínica buscando una solución estética y funcional para la ausencia de piezas dentales».
Juan acudió a nuestra clínica dental en Zaragoza buscando una solución estética y funcional ante la ausencia de piezas dentales y la necesidad de recuperar una mordida estable. Tras un estudio digital completo y una planificación multidisciplinar, diseñamos un abordaje integral basado en diagnóstico, cirugía implantológica y fase ortodóncica, con el objetivo de devolverle seguridad al sonreír, capacidad masticatoria y salud periodontal a largo plazo.
Horario
Lunes: 8:00 a 21:00 h
Martes: 08:00 a 20:00 h
Miércoles: 8:00 a 20:00 h
Jueves: 08:00 a 20:00 h
Viernes: 8:00 a 19:00 h
Lunes: 8:00 a 21:00 h
Martes: 08:00 a 20:00 h
Miércoles: 8:00 a 20:00 h
Jueves: 08:00 a 20:00 h
Viernes: 8:00 a 19:00 h
Parkings cercanos
Buena Vista (c/ Arzobispo Morcillo)
Corte Inglés (Paseo Sagasta)
